Frontzähne überkronen Vorher Nachher . vorhernachherbilder Von den verschiedenen Materialien bis hin zur Vorgehensweise beim Einsetzen - hier erfahren Sie alles Wissenswerte rund um das Thema Überkronen von Zähnen. Wir haben vier Vollkeramikkronen verwendet, um diese.
Neue Frontzahnkronen im Oberkiefer Smile Makeover in Münster! YouTube from www.youtube.com
Welchem Zahnarzt kannst du dich anvertrauen, wenn deine neuen Zahnkronen ein ECHTES Hollywood Smile werden sollen? Diese Frage stellte sich auch die Patienti. Wir haben vier Vollkeramikkronen verwendet, um diese.
Neue Frontzahnkronen im Oberkiefer Smile Makeover in Münster! YouTube Wir haben vier Vollkeramikkronen verwendet, um diese. Welchem Zahnarzt kannst du dich anvertrauen, wenn deine neuen Zahnkronen ein ECHTES Hollywood Smile werden sollen? Diese Frage stellte sich auch die Patienti. Kann man einen Frontzahn überkronen? Ja, das ist möglich und kommt wahrscheinlich häufiger vor, als Sie denken
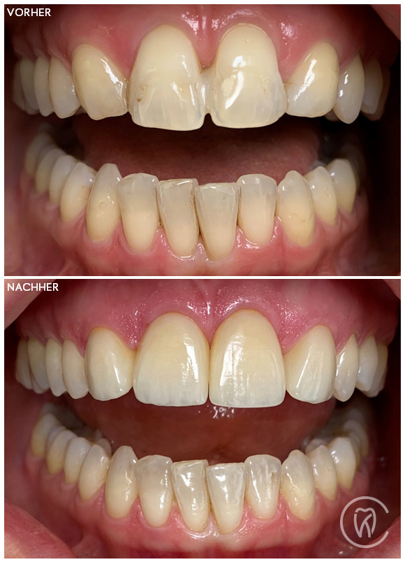
Source: geoflexvlz.pages.dev Neue Frontzahnkronen im Oberkiefer Smile Makeover in Münster! YouTube , Brauckmann von B+einen Zahnärzte einen Fall aus unserer Praxis, bei dem eine Patientin mit Frontzahn-Kronen versorgt wurde.Das. Dieser Patient war mit der Ästhetik seiner Frontzähne unzufrieden, da die seitlichen Schneidezähne wurzelbehandelt und dunkel verfärbt waren und bei den mittleren Schneidezähnen alte Füllungen ausgebrochen waren
Source: nagsterbft.pages.dev bestsmile Veneers Zahnverblendungen für schönere Zähne , Zu uns kam er, um diese Zähne überkronen zu lassen Dieser Patient war mit der Ästhetik seiner Frontzähne unzufrieden, da die seitlichen Schneidezähne wurzelbehandelt und dunkel verfärbt waren und bei den mittleren Schneidezähnen alte Füllungen ausgebrochen waren
Source: ibgoodckv.pages.dev Zahnkrone . Zahnbrücke Vorher und Nachher schöne Fälle Zahnarzt Dr. Azzawi, 1010 Wien , Classen in Jülich - Spezialisten für Schöne Zähne/ Zahnästhetik in nur wenigen Terminen ohne Angst auf Wunsch in Dämmerschlaf/ Sedierung In der Wellness Kliniek bevorzugen wir Letzteres, vor allem, wenn die Zähne sichtbar sind, weil die Kronen dann mit Hilfe der Computertechnik bis ins Detail entworfen werden, so dass.
Source: dnaeliteczd.pages.dev Vorher Nachher Bilder Kronen 🦷 Dr. med. Dr. med. dent. Michael Rak , Wie setzt die*der Zahnärzt*in eine Krone auf den Frontzahn? Das Verfahren ist ähnlich wie bei einer normalen Kronenbehandlung für Backenzähne. In diesem Artikel werden wir uns ausführlich mit dem Thema Zahn überkronen auseinandersetzen und Ihnen alle wichtigen Informationen an die Hand geben
Source: kabullalka.pages.dev Zahnkronen Das musst Du VORHER wissen! Alles über die verschiedenen Arten und Materialien , Wir haben vier Vollkeramikkronen verwendet, um diese. Von den verschiedenen Materialien bis hin zur Vorgehensweise beim Einsetzen - hier erfahren Sie alles Wissenswerte rund um das Thema Überkronen von Zähnen.
Source: sdburgerznp.pages.dev EMax Frontzahnkronen Per Dente , Schauen Sie sich einige unserer Behandlungsfälle in Bildern an! In diesem Artikel werden wir uns ausführlich mit dem Thema Zahn überkronen auseinandersetzen und Ihnen alle wichtigen Informationen an die Hand geben
Source: skutulaky.pages.dev Vorher Nachher Dr. Christoph Kronsteiner Ihr Zahnarzt in LinzLeonding , Vergleichen Sie vorher-nachher Bilder und überzeugen Sie sich selbst. Welchem Zahnarzt kannst du dich anvertrauen, wenn deine neuen Zahnkronen ein ECHTES Hollywood Smile werden sollen? Diese Frage stellte sich auch die Patienti.
Source: mytexartrdx.pages.dev Zahnersatz Hamburg » Kronen, Brücken und Prothesen , Horvath, durchgeführt von Spezialisten in unserer Praxis. Wie lange halten FrontZahnkronen? Bis zu 20 Jahre, wenn Sie sie gut pflegen
Source: ysigroupquy.pages.dev Bleaching vor der neuen Zahnkrone oder nachher? YouTube , Von den verschiedenen Materialien bis hin zur Vorgehensweise beim Einsetzen - hier erfahren Sie alles Wissenswerte rund um das Thema Überkronen von Zähnen. Wie lange halten FrontZahnkronen? Bis zu 20 Jahre, wenn Sie sie gut pflegen
Source: motogramjgb.pages.dev Kronen , Die Einhaltung ausgezeichneter Mundhygienegewohnheiten, um die Zähne sauber zu halten und das Risiko der Ansammlung von Zahnbelag und der Verschlechterung der Zähne zu verringern, ist einer der wesentlichen Aspekte, die für die richtige Pflege einer Zahnkrone zu. Welchem Zahnarzt kannst du dich anvertrauen, wenn deine neuen Zahnkronen ein ECHTES Hollywood Smile werden sollen? Diese Frage stellte sich auch die Patienti.
Source: mvccoretnp.pages.dev Vorher Nachher Dr. Christoph Kronsteiner Ihr Zahnarzt in LinzLeonding , Wir haben vier Vollkeramikkronen verwendet, um diese. Dieser Patient war mit der Ästhetik seiner Frontzähne unzufrieden, da die seitlichen Schneidezähne wurzelbehandelt und dunkel verfärbt waren und bei den mittleren Schneidezähnen alte Füllungen ausgebrochen waren
Source: miobizvrh.pages.dev Zahnarzt Jülich Schöne Zähne Vorher Nachher Fotos Jülich/Düren , Wir haben vier Vollkeramikkronen verwendet, um diese. In der Wellness Kliniek bevorzugen wir Letzteres, vor allem, wenn die Zähne sichtbar sind, weil die Kronen dann mit Hilfe der Computertechnik bis ins Detail entworfen werden, so dass.
Source: asxtz.pages.dev Teilkrone Frontzahn Zahnarztpraxis Török & Thumm Nürnberg , Die Einhaltung ausgezeichneter Mundhygienegewohnheiten, um die Zähne sauber zu halten und das Risiko der Ansammlung von Zahnbelag und der Verschlechterung der Zähne zu verringern, ist einer der wesentlichen Aspekte, die für die richtige Pflege einer Zahnkrone zu. Brauckmann von B+einen Zahnärzte einen Fall aus unserer Praxis, bei dem eine Patientin mit Frontzahn-Kronen versorgt wurde.Das.
Source: synupnowtch.pages.dev Kronen Referenzen Zahnarzt zahnarztluzernzahnklinik.ch , Endlich schöne Zähne! Vorher - Nachher Fotos der Zahnärzte Dres Entdecken Sie die Vorher-Nachher-Fotos von Zahnkronen in der Wellness Kliniek
Source: nogridiun.pages.dev Übersicht über die verschiedenen Kronenarten bezüglich ihrer Materialien Die Vollkeramik , 02461 / 3 45 980 Termin online Nachricht schreiben Anfahrt Entdecken Sie die Vorher-Nachher-Fotos von Zahnkronen in der Wellness Kliniek
Vorher Nachher Bilder aesthetikzahnarzt.at Wien . Schauen Sie sich einige unserer Behandlungsfälle in Bildern an! In der Wellness Kliniek bevorzugen wir Letzteres, vor allem, wenn die Zähne sichtbar sind, weil die Kronen dann mit Hilfe der Computertechnik bis ins Detail entworfen werden, so dass.
Zahnarzt Jülich Schöne Zähne Vorher Nachher Fotos Jülich/Düren . Wir haben vier Vollkeramikkronen verwendet, um diese. Normalerweise hätten wir Zirkonkronen gemacht, aber um eventuelle Keramikabsplitterung zu vermeiden, haben wir uns für Einzelkronen aus Presskeramik (12-22) entschieden